Merkel Cells Are Found In The : Merkel cell carcinoma-A rare primary neuroendocrine skin ... : Merkel cell carcinoma (mcc) is a rare skin cancer.

Merkel Cells Are Found In The : Merkel cell carcinoma-A rare primary neuroendocrine skin ... : Merkel cell carcinoma (mcc) is a rare skin cancer.. In the present immunohistochemical study, applying the cytokeratins 8, 18 and 20 as the most established markers for merkel cells (mcs), we did not find elevated numbers of mcs. Patients with more advanced disease may receive adjuvant (additional) treatments such as radiation therapy and. Mccs are often found in the areas of the body that get the most direct sun such as the It's a type of skin cancer that occurs when cells in the skin stages of merkel cell carcinoma. They were originally described in the late 1800s by friedrich merkel, a german anatomist.

After a century of question about their purpose, it is now clear that they have a vital. The skin without hair is known as the glabrous skin; They are nerve endings and provide information on mechanical pressure, position, and deep static touch features, such as shapes and edges. Merkel cells are found in the epidermis epidermis the outermost layer of the two main layers that make up the skin (the dermis is the deeper layer). They are abundant in highly sensitive skin like that of the fingertips in humans.

Skin I at Lincoln Memorial University - StudyBlue
Skin I at Lincoln Memorial University - StudyBlue from classconnection.s3.amazonaws.com
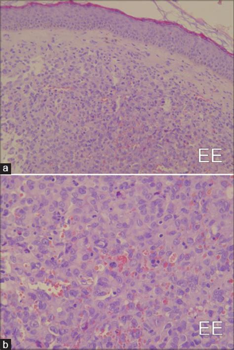
Merkel cell carcinoma (mcc) is a rare, aggressive form of skin cancer with a high risk for returning (recurring) and spreading (metastasizing) normal merkel cells in the skin: Merkel cells are connected to the nerve endings in the skin that are responsible for the sense of touch. They are nerve endings and provide information on mechanical pressure, position, and deep static touch features, such as shapes and edges. Merkel cells (mcs), the neuroendocrine cells of the skin, were believed to be at the origin of mcc due to their phenotypic similarities. Merkel nerve endings are mechanoreceptors, a type of sensory receptor, that are found in the basal epidermis and hair follicles. The tumour is centered in the dermis with frequent involvement of the overlying actinic keratosis and in situ squamous cell carcinoma is commonly found in the overlying skin (figure 2). The skin without hair is known as the glabrous skin; That's because gu and his research colleagues have proved that merkel cells— which contact many sensory nerve endings in the skin—are the initial sites for sensing touch.

You'll find pictures of what mcc can look like, along with possible warning signs at, merkel.

After receiving a cancer diagnosis, your doctor will run tests to find out if the cancer has spread to other parts of your body. Merkel cells are one of the two types of primary tactile mechanoreceptors located near the upper surface of the skin. It's a type of skin cancer that occurs when cells in the skin stages of merkel cell carcinoma. This type of skin occurs in the palms, fingers, soles of the feet, and lips. After a century of question about their purpose, it is now clear that they have a vital. Merkel cells (red) fail to differentiate from epidermal stem cells in mouse skin lacking atoh1 (right). Cancer records show that doctors diagnosed about 2,000 mccs in the united states during it's possible to find this cancer early because it begins on the skin. They were originally described in the late 1800s by friedrich merkel, a german anatomist. Merkel nerve endings are mechanoreceptors, a type of sensory receptor, that are found in the basal epidermis and hair follicles. They are nerve endings and provide information on mechanical pressure, position, and deep static touch features, such as shapes and edges. The skin over them is usually firm (not broken) and they don't hurt. Merkel cells are found in the epidermis epidermis the outermost layer of the two main layers that make up the skin (the dermis is the deeper layer). It has been suggested that they are associated with the sensation of touch, but this has been difficult to prove and remains.

Merkel cells are receptor cells found in the skin of vertebrates. This type of skin occurs in the palms, fingers, soles of the feet, and lips. The skin without hair is known as the glabrous skin; The study appears in the october 5, 2009, issue of the in mice, they are mainly found in the paws and around the whiskers but, because they express proteins characteristic of both epithelial and neuronal. Merkel cell carcinoma (mcc) is a rare, aggressive form of skin cancer with a high risk for returning (recurring) and spreading (metastasizing) normal merkel cells in the skin:

Physiology of skin function
Physiology of skin function from image.slidesharecdn.com
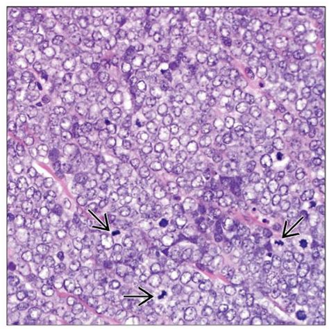
After receiving a cancer diagnosis, your doctor will run tests to find out if the cancer has spread to other parts of your body. Merkel nerve endings are mechanoreceptors, a type of sensory receptor, that are found in the basal epidermis and hair follicles. Merkel cell carcinoma is a neuroendocrine carcinoma composed of densely blue cells. Merkel cells are found mainly at the base of the top layer of the skin (the epidermis). Merkel cells, found in the top layer of the skin, are very close to the nerve endings that receive the sensation of touch. Langerhans cells are dendritic but unpigmented and are found nearer the skin surface than melanocytes. They aid in the ability to sense light touch. They are associated with the sense of light touch discrimination of shapes and textures.

The tumour is centered in the dermis with frequent involvement of the overlying actinic keratosis and in situ squamous cell carcinoma is commonly found in the overlying skin (figure 2).

Merkel cells (mcs), the neuroendocrine cells of the skin, were believed to be at the origin of mcc due to their phenotypic similarities. Merkel cells are found at the base of the outermost layer of your skin (epidermis). Merkel cells are found in the epidermis epidermis the outermost layer of the two main layers that make up the skin (the dermis is the deeper layer). They were originally described in the late 1800s by friedrich merkel, a german anatomist. After a century of question about their purpose, it is now clear that they have a vital. This type of skin occurs in the palms, fingers, soles of the feet, and lips. Merkel cells are receptor cells found in the skin of vertebrates. Merkel cells are one of the two types of primary tactile mechanoreceptors located near the upper surface of the skin. The study appears in the october 5, 2009, issue of the in mice, they are mainly found in the paws and around the whiskers but, because they express proteins characteristic of both epithelial and neuronal. Merkel cells form parts of sensory structures. Merkel cell carcinoma is highly treatable with surgical and nonsurgical therapies, particularly if caught early. Patients with more advanced disease may receive adjuvant (additional) treatments such as radiation therapy and. Tests and procedures that examine the skin are used to detect (find) and diagnose this and other changes in the skin may be caused by merkel cell carcinoma.

The possibility of a neuroendocrine differentiation in basal cell carcinomas (bccs) has been a matter of debate for many years. They are associated with the sense of light touch discrimination of shapes and textures. The study appears in the october 5, 2009, issue of the in mice, they are mainly found in the paws and around the whiskers but, because they express proteins characteristic of both epithelial and neuronal. It starts in the merkel cells, which are usually in the top layer of the skin (the epidermis). Langerhans cells are dendritic but unpigmented and are found nearer the skin surface than melanocytes.

Case Report: Unusual Combined Merkel, Squamous Cell ...
Case Report: Unusual Combined Merkel, Squamous Cell ... from www.dermatologyadvisor.com
The skin over them is usually firm (not broken) and they don't hurt. Merkel cell carcinoma is highly treatable with surgical and nonsurgical therapies, particularly if caught early. In humans, merkel cells (yellow dot) are found clustered beneath the epidermal ridges (aka fingerprints). Merkel cells, found in the top layer of the skin, are very close to the nerve endings that receive the sensation of touch. However, for several reasons, for example, heterogeneous differentiation of mccs and postmitotic character of mcs, it is not very likely that mcc develops from differentiated. That's because gu and his research colleagues have proved that merkel cells— which contact many sensory nerve endings in the skin—are the initial sites for sensing touch. …contains two other cell types: The tumour is centered in the dermis with frequent involvement of the overlying actinic keratosis and in situ squamous cell carcinoma is commonly found in the overlying skin (figure 2).

In humans, merkel cells (yellow dot) are found clustered beneath the epidermal ridges (aka fingerprints).

It has been suggested that they are associated with the sensation of touch, but this has been difficult to prove and remains. Assessment | biopsychology | comparative | cognitive | developmental | language | individual differences | personality | philosophy | social | methods | statistics | clinical | educational | industrial | professional items | world psychology |. They are nerve endings and provide information on mechanical pressure, position, and deep static touch features, such as shapes and edges. They are abundant in highly sensitive skin like that of the fingertips in humans. After receiving a cancer diagnosis, your doctor will run tests to find out if the cancer has spread to other parts of your body. Merkel cell carcinoma (mcc) is a rare type of skin cancer. Patients with more advanced disease may receive adjuvant (additional) treatments such as radiation therapy and. Merkel cell carcinoma begins in the merkel cells. It starts in the merkel cells, which are usually in the top layer of the skin (the epidermis). Merkel cell carcinoma is a neuroendocrine carcinoma composed of densely blue cells. Patients with merkel cell carcinoma are usually first treated with surgery. Mccs are often found in the areas of the body that get the most direct sun such as the Merkel cells are found at the base of the outermost layer of your skin (epidermis).

Merkel cells are found in the epidermis epidermis the outermost layer of the two main layers that make up the skin (the dermis is the deeper layer) merkel cells. Merkel cells are found at the base of the outermost layer of your skin (epidermis).

Comments